SERVICIOS


Tomografía 3D (Disponible en sucursal Guelatao y Roma)


La diferencia radical entre la tomografia cone-beam (TCB) y la tomografia computarizada (TC) es la forma de procesar la imagen, es decir la TC es generada a partir de imagenes 2D en la cual se producen aberraciones o distorsiones, sin poder usarla con un poder fidedigno, en cambio la TCB la reconstruccion se hace a través de cortes, sin provocar distorsiones, deja una escala 1:1.

VENTAJAS

-Escala 1:1
-Fácil Manipulación
-Ventajas sobre la radiografía convencional
-Acceso instantáneo a tu computadora
-Magnífico auxiliar de diagnóstico
-Bajo Costo
-Mayor resolución y nitidez
-Uso en todas las ramas odontológicas.

Estudio Convencional


-Panoramica (OP)
-Lateral de Craneo (LC) 8 x 10¨
-Modelos de Estudio en yeso con caja plática rígida
-Trazos Cefalométricos
-Fotografía Digital Impresa

Estudio Convencional y Escaneado


-Panoramica (OP)
-Lateral de Craneo (LC) 8 x 10¨
-Modelos de Estudio en yeso con caja plática rígida
-Trazos Cefalométricos
-Fotografía Digital en CD

Estudio Digital en CD


-Panoramica (OP)
-Lateral de Craneo (LC)
-Modelos de Estudio en yeso con caja plática rígida
-Trazos Cefalométricos
-Fotografía Digital
-10 Tomas digital Modelos

Estudio Digital PLUS (Impreso y CD)


-Panoramica (OP)
-Lateral de Craneo (LC)
-Modelos de Estudio en yeso con caja plática rígida
-Trazos Cefalométricos
-Fotografía Digital e Impresa
-10 Tomas Digital Modelos e Impresa

Estudio completo de ortodoncia en 3D (cone-beam) digital CD


-Panoramica (OP)
-Lateral de Craneo (LC)
-Modelos de Estudio en yeso con caja plática rígida
-Trazos Cefalométricos, tomografía volumétrica cone-beam
-Fotografía Digital e Impresa
-10 Tomas Digital Modelos en CD

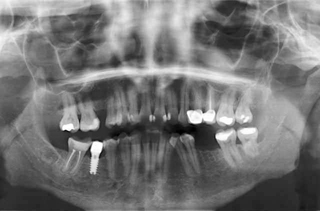
RADIOGRAFÍA


-Panorámica (OP)
-Panorámica (OP) con 1.25 de Magnificación para implantes
-Panorámica Región Dientes Anteriores
-Panorámica Región Derecha
-Panorámica Región Izquierda
-Lateral de Cráneo 8x10" (LC)
-Lateral de Cráneo 10x12" (LC)
-Anteroposterior (AP)
-Posteroanterior (PA)
-Caldwell
-Waters
-Carpal

RADIOGRAFÍA PERIAPICALES


-Periapicales
-Oclusal
-Serial Periapical Infantilm (10 Rx)
-Serie Periapical Adulto (14 Rx)

Fotografía Intra y Extra Oral


-Fotografía Clínica Digital (10 Tomas)
-Tomas Adicionales

Radiografía Senos Maxilares y Paranasales


-Senos Maxilares Dos Proyecciones
-Senos Paranasales
-Senos Paranasales 3 Proyecciones (Caldwell, Waters, Senos p.)

Modelos de Estudio


Modelos de Estudio en Yeso, CAJA DE PLASTICO (rigida)
Modelos de estudio en Acrílico 1 color, CAJA DE PLASTICO (rigida)

Trazo Cefalométrico Computarizados


-Trazo Computarizado
-Sobrepocisión en foto
-Sobrepocision en Rx
-Norma Visual en Rx
-Predicción de Crecimiento en Foto
-Predicción de Crecimiento en Foto en Rx



Contacto

Sucursales
Universidad
Ecatepec
Roma
Guelatao
 
La Villa
Zaragoza


E-mail:


Informes